Capteur Intraoral ONE
Capteur dentaire fiable et robuste


Capteur intraoral nouvelle génération, conçu pour s’adapter parfaitement à vos besoins cliniques
Optimisez votre workflow avec un capteur dentaire haute résolution offrant une visualisation instantanée de vos clichés. Plus besoin de temps de développement : obtenez des images précises en un seul geste, pour des diagnostics plus rapides et fiables.
Polyvalent et performant, ce capteur répond à toutes vos exigences cliniques :
- Endodontie : Précision accrue pour des traitements canalaires réussis.
- Parodontie : Détection précoce des lésions parodontales.
- Chirurgie implantaire & prothétique : Planification et suivi optimisés.
- Diagnostic carieux : Détection fine des lésions même débutantes.

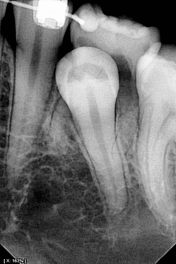
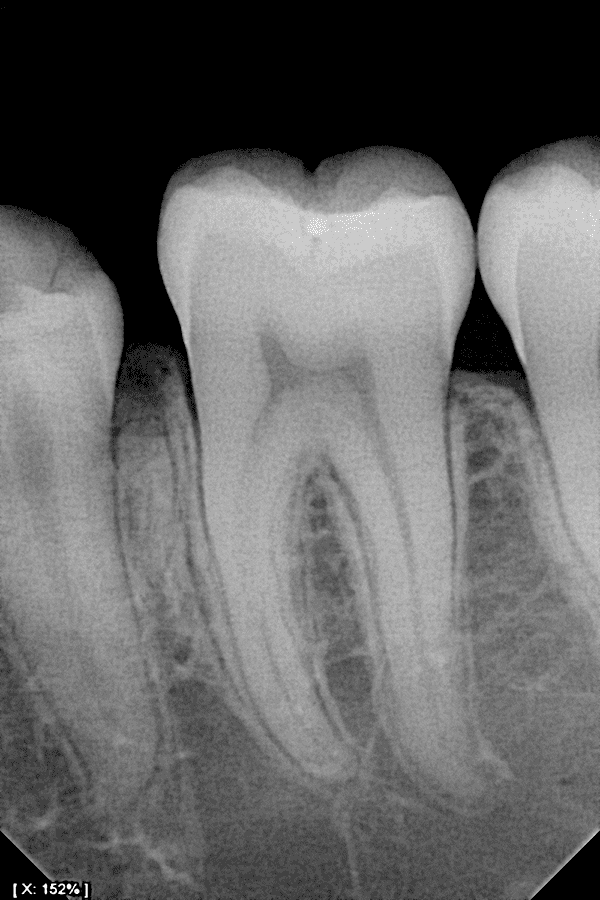
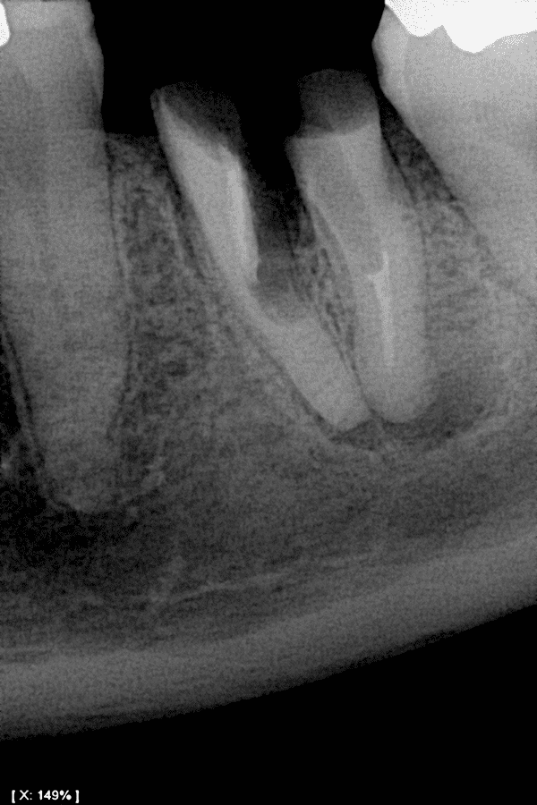
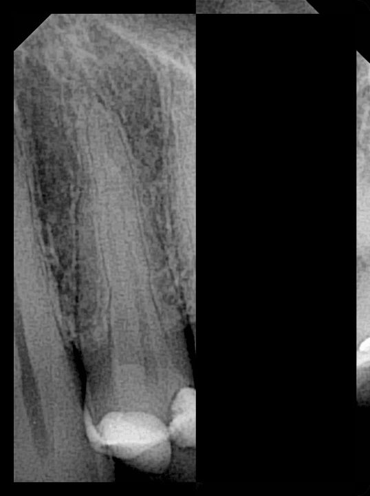
Images cliniques du Capteur ONE
Qualité d'Image HD- Avec une qualité de 18.5 microns.
Des images intraorales exceptionnelles à la fois nettes et détaillées.

Algorithme d'amélioration de la netteté pour radiographies rétro-alvéolaires
Précision révolutionnaire pour un diagnostic dentaire irréprochable
Découvrez une avancée majeure en imagerie dentaire avec notre algorithme intelligent d’amélioration de la netteté, spécialement conçu pour les radiographies rétro-alvéolaires. Grâce à un traitement d’image haute performance, cet outil innovant :
- Améliore la clarté et le détail des clichés pour une analyse plus précise.
- Réduit les artefacts et le flou, même sur des zones anatomiques complexes.
- Optimise le diagnostic en révélant des détails critiques invisibles à l’œil nu.
- S’intègre parfaitement aux workflows existants, sans nécessiter de matériel supplémentaire.
Points forts et technologies clés
de notre capteur RVG
ONE: 2 TAILLES DE CAPTEURS
ONE : capteur intraoral optimisé pour le cabinet
Prise en charge directe USB, fonctionnement automatique, durabilité étendue.

Capteur ONE Taille 1

Capteur ONE Taille 2
Un capteur intraoral dentaire de haute qualité
Qualité d’Image HD, pour des radio rétro-alvéolaire parfaites.
Résolution de 18.5 microns
ONE : capteur intraoral optimisé pour le cabinet
ONE : RENDU À L'EXPOSITION

0.05

0.15

0.25

0.35

0.45
DOSE
Plus faible
<-----------Temps d'exposition----------->
@ 65KV, 7mA, 25cm
DOSE
Plus élevée
0.05

0.15

0.25

0.35

0.45

CONCURRENT : RENDU À L'EXPOSITION

Technologie Multicouche
Combinaison de couches
Les couches élastiques intégrées(système antichoc) protègent le capteur des dommages dus aux chutes ou à la pression
La construction optimisée avec une combinaison de couches avancées donne un capteur super fin de seulement 6 mm de large

Quelques minutes suffisent pour le découvrir.
Brochure capteur intraoral ONE
Découvrez les dernières innovations intégrées dans notre gamme de capteur.
Dernière génération de capteurs avec technologie WDA.

Le capteur ONE s’intègre facilement à la majorité des logiciels de gestion utilisés en cabinet dentaire (DPI, PMS, etc.), garantissant une synchronisation fluide des données patient et des images capturées.
Grâce à cette compatibilité étendue, les professionnels peuvent continuer à utiliser leurs outils habituels tout en bénéficiant des performances du capteur ONE, sans rupture dans leur flux de travail.
L’installation est rapide, et notre équipe technique reste disponible à chaque étape pour assurer une intégration optimale.
Compatibilité et intégration avec la plupart des logiciels de gestion
QuickVision
Logiciel de gestion d’image pour cabinet dentaire
Le logiciel d’imagerie QuickVision est destiné aux cabinets dentaires et comporte une base de données patients, un module d’imagerie et un schéma dentaire.
Il peut être utilisé avec de l’équipement de radiologie numérique dentaire, comme un hub centralisant toutes les images des patients.
Quickvision permet aux utilisateurs d’accomplir toutes les fonctions d’imagerie quotidiennes du cabinet dentaire : l’acquisition et visualisation des images, l’accès à des outils pour rehausser les images, pour mesurer, zoomer, annoter des images et pour partager des données et des images.



Autres produits à découvrir
Découvrez plus de produits et trouvez celui qui saura répondre à vos besoins.

Capteur Intraoral
OPTEO

Lecteur de Plaques
Owandy CR2

Caméra intraoral
Owandy IOS

Générateur intraoral
Owandy-RX DC
Vous avez besoin d’aide ?
Rendez‐vous sur notre page Assistance ou contactez‐nous !










